mobile icon1 mobile icon2 mobile icon3 mobile icon4
  • 662-664 Holloway Road
  • London
  • N19 3NU
I would like to
google rating thumb1
linker icon1
  • 662-664 Holloway Road
  • London
  • N19 3NU
Cross bite, crooked teeth

Before

After

Results with Quick Straight Teeth, achieved in 9 months

Read More
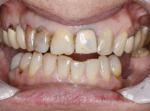
Blue Light Dental - Before

Before

After

broken teeth

Before

After

Composite bonding for broken down teeth

Read More
chipped tooth

Before

After

Blue Light Dental - Before

Before

After

Blue Light Dental - Before

Before

After

Blue Light Dental - Before

Before

After

Page 1 of 4

Get in touch

We love our patients

""Great service. Tooth extraction isn't exactly the most pleasant experience, but thanks to the staff at Blue Light Dental all went fast and without any problems." "

G

honoer star1 honoer star2 honoer star3 honoer star4 honoer star5
Read all testimonials

We love our patients

""Very kind staff, the Dentist Monica is truly professional! They keep the shop always clean and tidy." "

MD

honoer star1 honoer star2 honoer star3 honoer star4 honoer star5
Read all testimonials

We love our patients

""I have been suffering from severe migraines and face burning sensations for months and eventually atrocious toothaches. My husband had to make me an emergency appointment for a tooth extraction when... "

YC

honoer star1 honoer star2 honoer star3 honoer star4 honoer star5
Read all testimonials

We love our patients

""I went to Blue Light Dental after a friend of mine recommended it, and I can't explain how happy I am that I did. Monica and Brenda are amazing people. I normally don't lime going to the dentist beca... "

BB

honoer star1 honoer star2 honoer star3 honoer star4 honoer star5
Read all testimonials

We love our patients

""I have always been very self conscious of my teeth, from a very young age. I had visited two different Invisalign/braces dental practices prior to finding Monika, and my god what a difference she has... "

AH

honoer star1 honoer star2 honoer star3 honoer star4 honoer star5
Read all testimonials

We love our patients

""The staff members were very sweet. Waiting time is not long. I was there for general hygiene, the dentist spent 20 minutes on my teeth, removed majority of stains and cavity, however, it wasn’t a d... "

MN

honoer star1 honoer star2 honoer star3 honoer star4 honoer star5
Read all testimonials
linker icon1
  • 662-664 Holloway Road
  • London
  • N19 3NU
nucler icon1 nucler icon2 nucler icon3 nucler icon4